Table of Contents (click to expand)
People have strong preferences between Coke and Pepsi. The clash between these two cola companies has even been called the Cola Wars. But why should people get so passionate about soda? A 2004 study and the concept of neuromarketing help explain this bizarre culture battle.
Imagine you’re at a restaurant with your friends. You order burgers and french fries, ending the order with, “And a Coke, please.” But the attendant utters the three most dreaded words imaginable, “Is Pepsi okay?”
Your heart sinks. You had wanted Coca-Cola, but wait a minute… is there really a significant difference between the taste of Pepsi and Coke? And why do the majority of us have such a strong preference for one over the other?

Try this experiment on your friends. Fill two glasses, one with Coke and the other with Pepsi. Then ask your friends to taste the different drinks without telling them which is which. Note the number of your friends saying which one they prefer and which they think is Coke versus Pepsi.
Then repeat the experiment, but this time let your friends know which glass contains Coke and which one contains Pepsi. Note which type they prefer this time around.
The above experiment was a neuromarketing study conducted in 2004 by a group of neuroscientists. Before we learn more about the study, let’s first go over what neuromarketing exactly is.
Recommended Video for you:
The Definition Of Neuromarketing
The word neuromarketing is a blend of the words neuroscience and marketing.
Neuroscience is the study of anything and everything having to do with our nervous system. It involves research into the brain and its psychology.
Marketing is the strategy employed by businesses that helps them sell their products to us. Advertisements and sponsorships are a part of such strategies. In order for marketers to understand what to sell to whom, they need to understand the psychology of their buyers. This is where information about the brain comes in handy.

Why do some things catch your eye versus others? Why do you prefer an Android phone over an iPhone? Why do you like your ice cream only from Baskin Robbins? If marketers can figure out why people prefer certain things over others, they can use those learned strategies to increase their sales.
This is where neuromarketing comes in handy. It aims to understand the underlying why behind the buying behavior of people, and how to manipulate it.
Why do we like one product more than another one? Why do we prefer a particular brand over all others?

The Coke Vs. Pepsi Study
Now, back to the experiment.
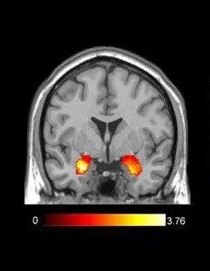
67 individuals participated in the study. As they were tasting the drinks under the conditions outlined at the beginning, their brain activity was measured via functional Magnetic Resonance Imaging (fMRI).
When an area of the brain is activated, there is a rush of blood to that area. The fMRI captures this change in blood flow. It helps scientists understand which activities light up what parts of the brain. Understanding which brain area activates in response to certain stimuli enables scientists to understand human behavior. Using fMRI, the researchers observed which parts of the brain were activated when the different drinks were consumed.

When the participants didn’t know which drink they were consuming, the preference for the drinks tied more or less at 50%. There was, however, a stark difference in the results when the participants knew which drink they were consuming. This time around, Coke won the popular vote, with more than half the people preferring it over Pepsi.
However, the only thing that changed was that they knew the brand name! So why did their preference change so drastically?
When the participants did not know the names of the drinks, a particular pleasure center located in the front of the brain known as the ventromedial prefrontal cortex (vmPFC) lit up. This area of the brain is especially responsive to the food we find gratifying, such as sugary fizzy drinks.
On the other hand, when the participants knew the names of the drinks, the areas of the brain that lit up had to do with emotions and memories. While aware that they’re drinking Coke, the participants showed an emotional reaction to knowing its brand name, which led to them preferring it over Pepsi. The brand name of Pepsi, however, did not elicit such an emotional reaction in the participants.
The scientists concluded that the very successful advertising campaigns of Coke had a profound effect on people’s memory. The commercials were so impactful that people had formed emotional connections with the very idea of Coke, which gave them comfort and happiness.
It has become a cultural symbol that is hard to eliminate!

Hence, Coke was preferred solely based on its brand name, even when the taste of Pepsi and Coke did not differ significantly.
Compare your notes with the results of this study. Did you also find a difference in you and your friends’ preference for Coke and Pepsi?
Conclusion
Cultural importance can produce such a difference in opinion even for two brown sugary drinks having a strikingly similar composition. Over the years, the blind taste test of Coke and Pepsi has even become a popular internet challenge. The results have almost always been close to the one in the study—people seemed to prefer Coke more when they knew it was Coke.
This makes us wonder, what other products are out there that we probably prefer solely based on their cultural symbolism, rather than their superiority over other options?
References (click to expand)
- Fisher, C. E., Chin, L., & Klitzman, R. (2010, July). Defining Neuromarketing: Practices and Professional Challenges. Harvard Review of Psychiatry. Ovid Technologies (Wolters Kluwer Health).
- McClure, S. M., Li, J., Tomlin, D., Cypert, K. S., Montague, L. M., & Montague, P. R. (2004, October). Neural Correlates of Behavioral Preference for Culturally Familiar Drinks. Neuron. Elsevier BV.
- Neuromarketing: What You Need to Know. Harvard Business Review












